[사이언스 데일리] 흑사병 같은 전염병을 일으키는 예르시니아 페스티스(Yersinia pestis) 를 연구하던 과학자들이 이 치명적인 병원균의 진화, 그리고 인류의 역사에 큰 영향을 끼친 작은 유전적 변화 하나를 찾아냈다. 유전자 하나가 바뀜으로 인해 어떻게 Y. pestis 가 위장관 감염을 일으키던 병원균에서 훨씬 심각하고 종종 치명적인 호흡기 질환, 그리고 후대의 변화에 의해 흑사병과 관련된 감염을 일으키게 되었는지를 과학자들이 보였다.
위장관 감염에서 흑사병까지
(2015년 6월 30일 사이언스 데일리 기사 번역)
정보출처: 노스웨스턴 대학

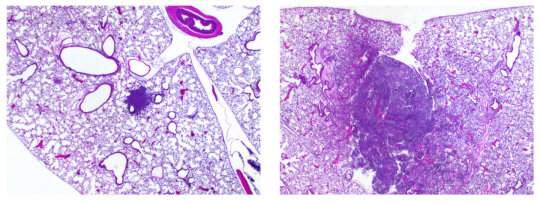
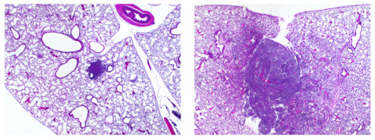
폐조직 사진에서 볼 수 있는 염증 병변. 왼쪽은 Pla 유전자가 없는 오래된 폐 페스트 박테리아 스트레인으로 인한 것, 오른쪽은 Pla 유전자가 있는 박테리아로 인한 것. Pla 유전자가 이 스트레인에 추가되면서 폐페스트를 일으키게 되었다. Credit: Image courtesy of Northwestern University
흑사병 등의 전염병을 일으키는 박테리아인 예르시니아 페스티스(Yersinia pestis) 를 연구하던 노스웨스턴 대학 파인버그 의대 미생물학-면역학 조교수 윈덤 레이덤 박사가 이 치명적인 병원균의 진화, 그리고 인류의 역사에 큰 영향을 미친 작은 유전적 변화 하나를 발견했다.
‘네이처 커뮤니케이션 (Nature Communications)’ 에 발표된 논문에서 레이덤 박사와 제1저자이며 파인버그 박사후 연구원인 대니얼 짐블러 박사는 유전자 하나가 바뀜으로 인해 어떻게 Y. pestis 가 위장관 감염을 일으키던 병원균에서 훨씬 심각하고 종종 치명적인 호흡기 질환을 일으키게 되었는지를 보였다. 거기에 더해 이 유전자가 후대에 어떻게 변화해 흑사병과 관련된 감염을 일으키게 되었는지도 보였다.
“이번 발견은 Y. pestis 가 어떻게 진화의 초기단계에서 심각한 호흡기 질환을 일으키는 능력을 가지게 되었는지를 보여줍니다. 이번 연구로 어떻게 박테리아가 작은 DNA 조각을 습득해 새로운 숙주 환경에 적응할 수 있게 되는지 더 잘 이해할 수 있게 되었습니다.”
연구팀은 Y. pestis 가 어떻게 폐를 감염시키는 능력을 갖추어 폐 페스트라고 불리는 심각한 질병을 일으키게 되었는지를 알아내기 위해 모델 쥐에서 오래된 박테리아 스트레인을 조사하였다.
현재 존재하는 모든 Y. pestis 스트레인 중에서 가장 오래된 것을 조사하여 연구팀은 박테리아가 어떻게 하면 성공적으로 폐에 정착은 하지만 폐 페스트와 관련된 심각한 질병을 일으키지는 않게 되는지를 보였다. 연구자들은 이 스트레인과 폐 페스트를 일으키는 가까운 관계의 스트레인 사이의 가장 큰 차이점이 표면 단백질 Pla 를 만들어내는 유전자라는 것을 발견했다.
레이덤은 박테리아가 Pla 유전자를 얻으면서 폐를 감염시킬 수 있는 능력을 갖추게 되었고, 이것이 Y. pestis 의 오래된 스트레인이 치명적인 폐 감염을 일으킬 수 있었던 이유라고 주장했다.
따라서 레이덤과 연구팀은 Pla 유전자를 이 스트레인에 삽입하여 폐의 건강상태에 어떤 변화가 일어나는지를 살펴보았다. 이들은 새로운 변이를 가지게 된 스트레인이 현대의 질병을 일으키는 Y. pestis 스트레인과 동일하게 호흡기 감염을 일으키게 되었다는 것을 확인하여 Y. pestis 가 폐에 감염을 일으키기 위해서는 Pla 유전자가 필수적이라는 것을 보였다. 여기에 더해 이들은 Y. pestis 가 지난 수천년 간 유전자를 얻고 잃는 과정을 반복했지만, 호흡기에 감염을 일으키기 위해 Pla 유전자 외의 추가적인 변화는 필요하지 않다는 것도 발견했다.
이들의 연구실에서는 또 Pla 유전자의 여러 변이형태를 살펴보고 현대의 Y. pestis 스트레인에서 볼 수 있는 단 하나의 변화가 박테리아로 하여금 사람의 몸 안에 퍼져 림프절을 감염시키게 하는 치명적인 적응이라는 것을 발견했다. 이런 형태의 감염은 흑사병을 일으키는 것이다. 레이덤에 따르면 이 결과는, 현재 이 분야의 일반적인 생각과는 다르게, Y. pestis 가 호흡기 병원균으로 먼저 진화했고, 그 후에 더 일반적인 형태의 질병인 흑사병을 일으키게 되었음을 나타내는 것이라고 한다.
레이덤은 이번 연구로 인해 국소적인 전염병만을 일으키던 Y. pestis 가 어떻게 6 세기의 유스티니아누스 역병이나 14세기의 흑사병과 같은 세계적 전염병을 일으키도록 변화했는지 설명할 수 있을 것이라고 한다.
“우리 자료에 따르면 Pla 유전자가 삽입되고 그 후에 변이가 일어남으로 인해 질병을 일으키는 새 스트레인이 빠르게 진화할 수 있게 되었습니다.” 레이덤의 말이다. “이것을 보면 아주 작은 유전적 변화만으로 새로운 호흡기 질환 병원균이 생겨날 수 있다는 것을 알 수 있습니다.”
이 연구는 미국 국립보건원 연구비 R01AI093727, R21652A103658 그리고 T32AI007476 의 지원으로 이루어졌다.
참고문헌
Daniel L. Zimbler, Jay A. Schroeder, Justin L. Eddy, Wyndham W. Lathem. Early emergence of Yersinia pestis as a severe respiratory pathogen. Nature Communications, 2015; 6: 7487 DOI: 10.1038/ncomms8487
댓글 남기기